تقنية متقدمة تنقذ حياة مريض بمجمع الدمام الطبي

عبدالله الشمري – الدمام
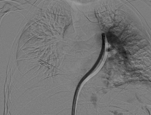
سجل مجمع الدمام الطبي أحد مكونات تجمع الشرقية الصحي ، إنجازاً طبياً نوعياً بعد نجاح فريق الأشعة التداخلية في إنقاذ حياة مريض كان يعاني من جلطة رئوية حادة وكبيرة شكّلت خطراً مباشراً على حياته ، وذلك باستخدام تقنية طبية متقدمة دون الحاجة إلى جراحة قلب مفتوح .

وكان المريض قد نُقل بشكل إسعافي من أحد المستشفيات وهو في حالة حرجة ، نتيجة معاناته من ضيق شديد في التنفس وانخفاض حاد في مستوى الأكسجين ، إثر انسداد كامل في الشريان الرئوي الرئيسي بسبب خثرات وريدية عميقة ظهرت بعد خضوعه لعملية منظار لمفصل الركبة.
وبفضل سرعة الاستجابة وجاهزية فريق الأشعة التداخلية جرى التدخل العلاجي العاجل وفتح الشريان الرئوي وسحب الجلطة بالكامل بدقة عالية ، ما أدى إلى تحسّن فوري في العلامات الحيوية واستقرار الحالة دون تسجيل أي مضاعفات.
وشهدت حالة المريض تحسناً ملحوظاً خلال 24 ساعة حيث نُقل من العناية الحرجة إلى جناح التنويم، واستكمل فترة متابعة طبية لمدة 48 ساعة ، قبل أن يغادر المستشفى وهو بحالة صحية مستقرة.
ويعكس هذا النجاح مستوى الكفاءة العالية للكوادر الطبية وجاهزية مجمع الدمام الطبي للتعامل مع الحالات الحرجة باستخدام أحدث تقنيات الأشعة التداخلية بما يعزز مكانته كمركز متقدم في تقديم الرعاية الصحية التخصصية بالمنطقة الشرقية .



